Smile Gallery
Brookdale Dental Group is a family-owned and operated dental practice based in Bloomfield, NJ. From our beginning, our doctors and staff have worked to create a relaxed, friendly atmosphere for patients of every age. As a family dental practice, we provide services in all facets of dentistry including general and cosmetic dentistry. Each member of our team has the skills and experience to help you establish better immediate and long-term oral health.
To see for yourself how we can help you improve your smile and dental health, please view the gallery below. For more information about our services and available treatments, please contact us today at 973-338-3700.
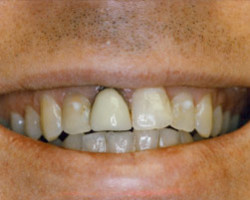
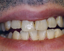
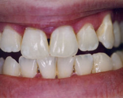
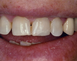
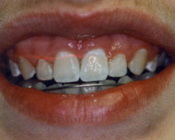
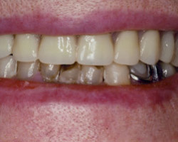
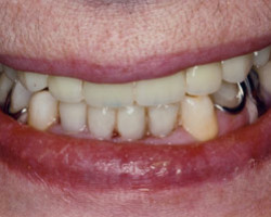
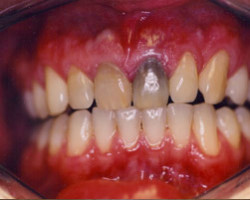
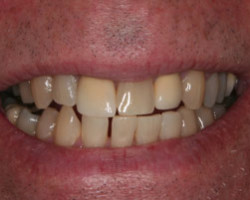
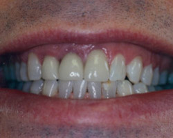
Dental Crowns
All Porcelain Dental Crowns





















































































































